TruthFeed News
politics and governance /

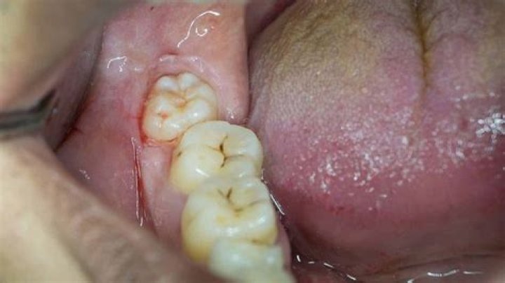
Are wisdom teeth painful?

If your wisdom teeth have enough space, and if they grow in straight, you might not ever feel pain. However, if your wisdom teeth erupt and there isn't enough room for them in your mouth, they typically cause intense pain, inflammation, and irritation.

How long does wisdom teeth pain last?

For most patients, any associated pain will subside in the week after wisdom teeth extractions. It usually takes around two weeks to a month for the socket to heal. The pain will be worse in the first few days after your procedure but it should improve in the coming days.

How painful is wisdom teeth pain?

Wisdom tooth pain is usually quite intense. It often feels like pain in the back of your mouth or at your jaw. Other people experience throbbing feelings or pressure in the back of their mouths. Cut or swollen gums also possibly indicate wisdom teeth trying to break through into your mouth.

How do you stop your wisdom teeth from hurting?

Below are some at home tips that may help alleviate the wisdom teeth pain while awaiting removal from a dentist.

  1. Over-the-counter Ibuprofen for wisdom teeth pain.
  2. Apply an Ice Pack.
  3. Use over-the-counter Numbing Gel.
  4. Saltwater Swish and Rinse.
  5. Clove Oil/ Clove Buds.
  6. Make an Essential Oils and Vanilla Extract Soak or Rinse.

At what age wisdom teeth come?

Wisdom teeth usually emerge sometime between the ages of 17 and 25. Some people have wisdom teeth that emerge without any problems and line up with the other teeth behind the second molars. In many cases, however, the mouth is too crowded for third molars to develop normally.

Wisdom tooth pain and advice

How long does it take a wisdom tooth to come in once it starts?

Wisdom teeth normally start to erupt between the ages of 17 and 25. However, the process does not happen at the same pace for everyone. In fact, it can take years for the wisdom teeth to fully emerge through the gums or they may never erupt at all.

Can I keep my wisdom teeth?

If your wisdom teeth are impacted, thereby preventing adequate oral hygiene, it's often best to have them removed. Teeth that erupt in an upright and functional position often don't need to be removed, Dr. Janowicz says, as long as they cause no pain and aren't associated with decay or gum disease.

When do wisdom teeth need pulled?

At what age should I have my wisdom teeth extracted? People of all ages can have their wisdom teeth removed. However, many dentists recommend having them extracted in your late teens or early 20s. During this stage of development, your wisdom teeth are still forming.

When should I worry about wisdom tooth pain?

You should make an appointment to see your dentist if your wisdom teeth are causing severe pain. They'll check your teeth and advise you whether they need to be removed. If your dentist thinks you may need to have your wisdom teeth removed, they'll usually carry out an X-ray of your mouth.

Can wisdom tooth pain go away on its own?

Pain in the wisdom teeth may resolve on its own, but in some cases it will need either active home management or treatment in a hospital or dental surgery.

Does wisdom tooth pain come and go?

Impacted wisdom teeth pain is usually an ache that comes and goes over time. It can be irritating and uncomfortable, and often the only long-term solution is to have the impacted teeth extracted.

What is the best painkiller for wisdom tooth pain?

Medication for wisdom tooth pain

Many people find that the best medicine for relieving wisdom teeth pain is ibuprofen, because of its anti-inflammatory properties. Acetaminophen, the active ingredient in Tylenol, can also be effective.

What are the benefits of keeping your wisdom teeth?

Perhaps the biggest benefit of keeping healthy wisdom teeth is not having to go through oral surgery. For most patients, all four wisdom teeth are removed due to the placement of the teeth and issues they can present later on. When wisdom teeth are healthy, they do not have to be removed, so no surgery is needed.

What does wisdom teeth coming in feel like?

Even if your wisdom teeth emerge through your gums normally, they can cause you to feel various mild symptoms. You might experience some mild pain, the feeling of pressure in your mouth or jaw, or a dull throbbing sensation in your gums, close to the opening of your throat or in your jaw bone which is nearby.

What will happen if I don't remove my wisdom teeth?

The impaction can lead to decay and resorption of healthy teeth. On occasion, if wisdom teeth are not monitored properly, their growth can shift parallel to the jawline. They can also shift backward and eventually interfere with the opening and closing of your jaw.

Can wisdom teeth fall out naturally?

Can wisdom teeth fall out naturally? This rarely happens as wisdom teeth are protected and held in place by our jaw bones. Patients with severe gum disease and bone loss around their wisdom teeth can start to feel their wisdom teeth get loose and potentially fall out on their own.

Why experts now say not to remove your wisdom teeth?

For years, wisdom tooth removal has been a fairly common practice, as many dental experts advise taking them out before they cause problems. But now some dentists don't recommend it because of the risks involved with anesthesia and surgery and the cost of the procedure.

Does wisdom teeth removal affect brain?

It's a very common myth that tooth extraction may effect brain and eyes or a person's hearing. It does not. You need to understand that the blood and nerve supply of the teeth is very different from that of eyes or brain. There will be no side effects to brain or eyes or ears after extraction.

Should I have my wisdom teeth removed at age 30?

Wisdom teeth removal is best performed on teenage and young adult patients before the wisdom teeth have had time to grow full-sized roots and before the jaw bone becomes too dense. Adults over 30 who have their wisdom teeth removed may experience a longer recovery period, but can still benefit from this procedure.

Are wisdom teeth lucky?

A pulled wisdom tooth is a lucky charm. Don't know about the counting of teeth theory but isn't it easy to bring a lucky charm your way – just pull out your wisdom tooth! Another myth associated with wisdom teeth apparently indicates long life, if your wisdom teeth come in late, you will enjoy a long life!

Can wisdom teeth make your face fat?

In short, removing the wisdom teeth will not impact your jawbone or face shape. In addition, the skin and soft tissue around the wisdom teeth consist of the underlying fat, muscles, and fat pads in the face. These tissues are not affected when a wisdom tooth is removed.

Do wisdom teeth change your smile?

Wisdom teeth can do more than change the alignment of your teeth. They can ruin your smile in other ways, too. They can cause problems with your gums. Specifically, impacted teeth can put you at risk of gum inflammation.

Why is Toothache worse at night?

Toothaches can be painful in the day, but they may seem to get worse at night. One reason that this may occur is because when a person is lying down, blood rushes to the head. This extra blood in the area may increase the pain and pressure that people feel from a toothache.

How can I stop wisdom tooth pain at night?

You should definitely contact your dentist in the morning, but until then, try these five tips for helping you sleep through a toothache at night.

  1. Take an Over-the-Counter Pain Reliever. ...
  2. Use a Cold Compress. ...
  3. Elevate Your Head. ...
  4. Watch What You Eat. ...
  5. Rinse Your Mouth.

How do I know if my wisdom teeth are coming in correctly?

If your wisdom teeth are growing in properly, you won't feel any significant pain or discomfort near the rear of your mouth. If you do, this could be a sign that your wisdom teeth are coming in improperly, or are becoming infected – and you should have them pulled right away.