TruthFeed News
global affairs /

Do I need antibiotics for dry socket?

Does dry socket need antibiotics? Dry socket is not caused by bacteria, but by the loss of the blood clot that normally forms over the exposed bone in the extraction site. Antibiotics are only used to prevent infection after tooth removal in patients with compromised immune systems or who have a history of dry socket.

Does dry socket need to be treated?

Dry socket must be treated by a dentist. This means you'll need to make a return trip to your dentist's office after your surgery. Your dentist will clean and medicate the site to help it heal. They'll also likely recommend over-the-counter or prescription pain medications.

How long does dry socket last untreated?

Dry socket causes intense pain because it exposes the nerves and bones in the gum. Dry socket, or alveolar osteitis, can last for up to 7 days.

Does dry socket heal on its own?

Will a dry socket heal on its own? Yes, in most cases a dry socket will heal on its own. However, because most people experience moderate to severe dry socket pain, seeing your dentist for prompt treatment can help ease discomfort sooner.

How does a dentist treat dry socket?

Your dentist or oral surgeon may pack the socket with medicated gel or paste and medicated dressings. These can provide relatively fast pain relief. The severity of your pain and other symptoms will determine whether you need dressing changes and how often or if you need other treatment.

Do you need antibiotics for dry socket?

Is dry socket A bacterial infection?

Dry socket is not caused by bacteria, but by the loss of the blood clot that normally forms over the exposed bone in the extraction site. Antibiotics are only used to prevent infection after tooth removal in patients with compromised immune systems or who have a history of dry socket.

Is dry socket an infection?

Painful, dry socket rarely results in infection or serious complications. However, potential complications may include delayed healing of or infection in the socket or progression to chronic bone infection (osteomyelitis).

What if dry socket goes untreated?

Dry socket can leave the nerves and bone in your gums exposed, so it's important to seek dental care. It can be incredibly painful, and if left untreated, it can lead to complications, including: delayed healing. infection in the socket.

How do you treat a dry socket at home?

The Mayo Clinic recommends dissolving ½ teaspoon of salt into 8 ounces of warm water. Swish this around in your mouth for a minute, or use it to flush out the dry socket with a syringe your surgeon gives you. Do this at least three times per day or after meals.

Will a dry socket fill in?

In most cases the gums completely grow over and close the tooth extraction socket within one to two weeks. Over the next year, the blood clot is replaced by bone that fills the socket. In a patient with a dry socket, blood does not fill the extraction socket or the blood clot is lost.

What are the warning signs of dry socket?

Symptoms of dry socket include:

  • intense pain a few days after surgery.
  • visibly empty socket with missing or partially missing blood clot.
  • pain that radiates from the socket into the rest of your face and head.
  • bad breath or foul odor in your mouth.
  • visible bone in the socket.

How can I make my dry socket heal faster?

How Can I Heal My Dry Socket?

  1. Swish with warm water: Gently swishing with warm water can help cleanse the extraction site and reduce bacteria.
  2. Use honey: Coat your dry socket with honey to help reduce inflammation.
  3. Create a cold compress: Press a cold towel against your cheeks to soothe the pain.

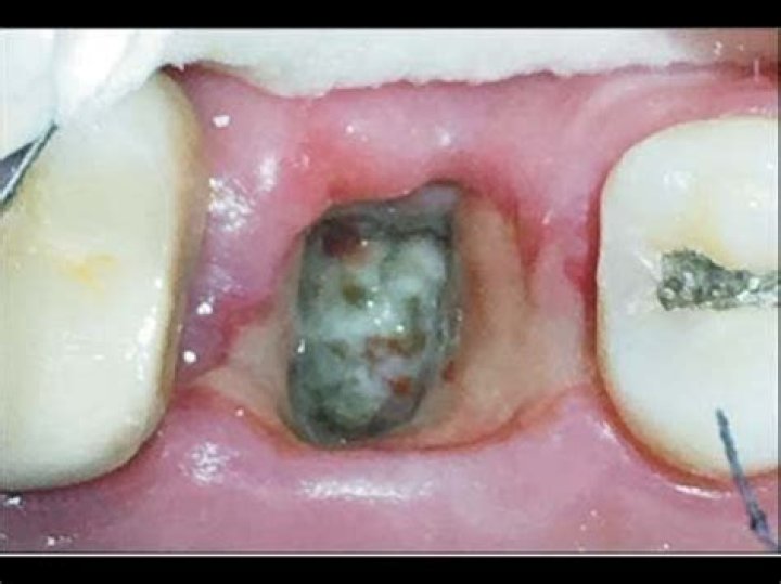
What color is dry socket?

A dry socket appears as an empty hole in the place of the removed tooth. The exposed bone is visible from the socket. The opening may look dry and have a creamy white color, just like a bone.

How can you tell the difference between dry socket and normal pain?

Summary. Dry sockets become increasingly painful in the days after a tooth extraction. They may also have exposed bone or tissue, or an unpleasant smell. By comparison, normal healing sockets get less painful over time and do not cause any other symptoms.

How long does it take for dry socket to heal with antibiotics?

You can expect it to take about 7-10 days to heal from dry socket as new tissue begins to cover the exposed bone and heal the wound. If you have periodontal disease or thin bone, it may take longer to heal.

What is the white stuff in my tooth extraction site?

A blood clot develops over the extraction site. Shortly after, you will see white stuff form around the tooth socket. If you are not in any pain, this is a good sign. It means that the white stuff is something called granulation tissue, that replaces the clot in the extraction site as the wound begins to heal.

How does salt water help dry socket?

Rinsing the mouth with warm salt water can help reduce bacteria and swelling. It can also flush out any food particles from the socket. Keeping this area clean can reduce pain and lower the risk of infection.

Does dry socket pain come and go?

Dry socket symptoms generally occur within a few days of tooth extraction and are usually limited to the oral cavity. Oral symptoms of dry socket may come and go or may be continuous.

Can I use Orajel on dry socket?

Anbesol, Orajel, or Oil of Clove liquid can be dropped into the extraction socket for temporary relief and antimicrobial effects. Place a few drops into the socket several times a day as needed for pain and cover the area with a gauze pad for 10 minutes to hold the solution in the painful area.

Is dry socket GREY?

You may have dry socket if: You can see a visible bone in the socket, or your socket appears grey in appearance or empty-looking. You're in severe pain following your tooth extraction. This pain will radiate from the extraction site to your ears, eyes or temples.

Is dry socket more common on top or bottom?

The dislodging of this blood clot delays the healing process since blood clots are crucial to healing. Lower teeth that have been removed are more likely to develop dry sockets than extracted, upper teeth. Though dry sockets can be incredibly painful to endure, they can be easily prevented.

Is dry socket pain constant or intermittent?

The discomfort is often (almost characteristically) described as a dull throbbing pain. It can be moderate to severe in intensity, possibly even debilitating. What's felt may be constant or intermittent.

What happens if I don't take antibiotics after tooth extraction?

As long as the patient is healthy and does not require antibiotic prophylaxis, their immune system should naturally be able to prevent most infections after the procedure. Taking the prescription as a just in case may have unintended consequences such as developing antibiotic resistant strains of bacteria.

What does a dry socket look like vs normal?

If you can visibly see your extraction site, you may see a few visible signs if you have a dry socket. A healthy socket will be a hole with a noticeable blot clot in the center. If your socket appears white in color, chances are you are seeing exposed bone and have lost the blood clot.

When is the chance of dry socket gone?

Typically you can stop worrying about the dry socket after 7-10 days because this is the amount of time that gums take to close. However, everyone heals at their own time, depending on age, oral health, hygiene, and other factors.