TruthFeed News
technology and society /

What does indication mean on MRI report?

The indication should be a simple, concise statement of the reason for the study and/or applicable clinical information or diagnosis. A clear understanding of the indication may also clarify appropriate clinical questions that should be addressed by the study.

What is a clinical indication in radiology?

The clinical history and indication (CHI) provided with a radiological examination are critical components of a quality interpretation by the radiologist. A patient's chronic conditions offer the context in which acute symptoms and findings can be interpreted more accurately.

How do I read my MRI results?

MRI interpretation Systematic approach

  1. Start by checking the patient and image details.
  2. Look at all the available image planes.
  3. Compare the fat-sensitive with the water-sensitive images looking for abnormal signal.
  4. Correlate the MRI appearances with available previous imaging.
  5. Relate your findings to the clinical question.

What does if clinically indicated mean?

about to recommend that procedure "if clinically indicated" When a nuclear medicine physician recommends an additional procedure, he or she should have a clear concept about how the results of that additional procedure will influence the diagnostic or management process.

What does impression mean on MRI report?

Impression – this is the radiologist's “impression” or diagnosis of the diagnostic imaging exam. This section includes a summary of the results and any follow up testing (like a biopsy or additional diagnostic imaging) that the radiologist recommends.

MRI indication & contraindication

Can you see damaged nerves on MRI?

Nerve damage can usually be diagnosed based on a neurological examination and can be correlated by MRI scan findings. The MRI scan images are obtained with a magnetic field and radio waves. No harmful ionizing radiation is used.

What does unremarkable mean on an MRI?

If a radiologist describes your brain MRI images or the results of other brain scans as “unremarkable,” this means that the scans show your brain is normal.

What does indicated mean in medical terms?

In medicine, an indication is a valid reason to use a certain test, medication, procedure, or surgery. There can be multiple indications to use a procedure or medication. An indication can commonly be confused with the term diagnosis.

What does clinical correlation is indicated mean?

In the radiology report handed over to an MD/DO, sometimes the words clinical correlation required will be included. Basically, this means that there may be some identifiable problems or what doctors call “pathology”, but they may not be clinically active or significant.

Can a radiologist tell you results?

They are acquiring diagnostic images according to specific protocols, so that a radiologist (a medical doctor with many years of specialized education) can interpret the images to provide an accurate report of the findings and results of your study.

What is increased T2 signal on MRI report?

An increase in T2 signal intensity is often associated with chronic compression of the spinal cord, and it is well established that chronic compression results in structural changes to the spinal cord.

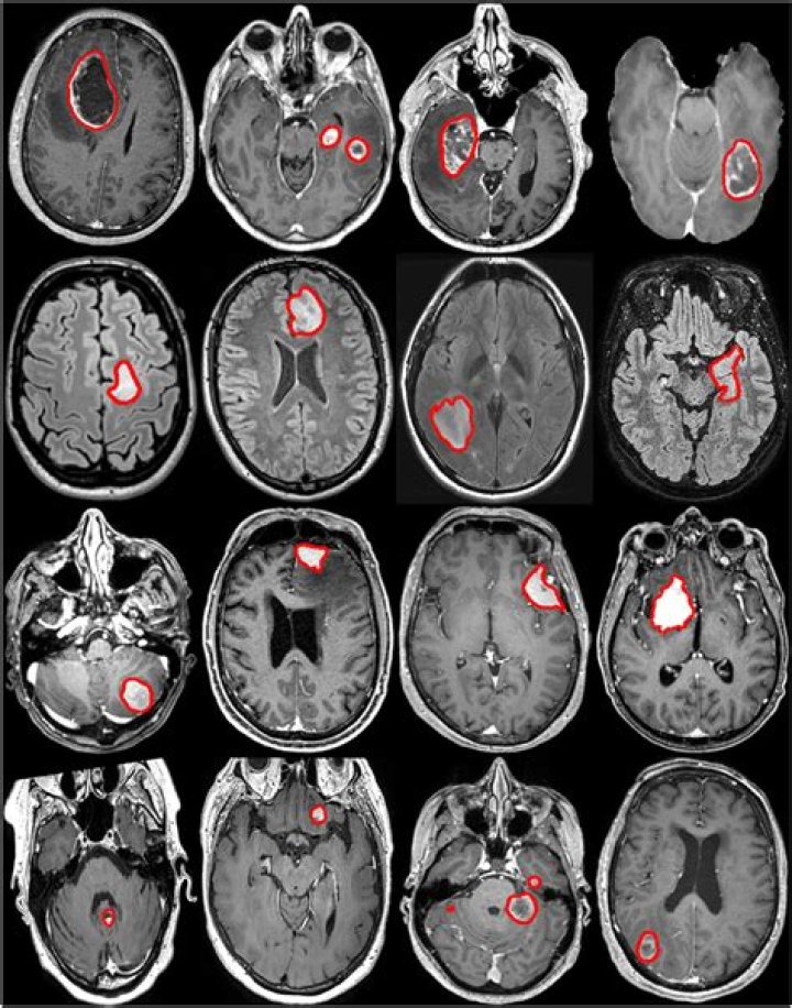
What conditions can cause an abnormal MRI?

Abnormal results may be due to:

  • Abnormal blood vessels in the brain ( arteriovenous malformations of the head )
  • Tumor of the nerve that connects the ear to the brain ( acoustic neuroma )
  • Bleeding in the brain.
  • Brain infection.
  • Brain tissue swelling.
  • Brain tumors.
  • Damage to the brain from an injury.

What do you look for in an MRI?

MRI can be used to detect brain tumors, traumatic brain injury, developmental anomalies, multiple sclerosis, stroke, dementia, infection, and the causes of headache.

What does correlation mean in medical terms?

an expression of the change or effect produced by the variation in certain variables, or of the ratio between two different quantities.

What does clinical correlation mean on EEG?

Then when the EEG report says "Clinical correlation is advised", that means the doc should ask if you experience actual symptoms that are consistent with temporal lobe epilepsy, such as frequent deja vu or other "simple partial seizures".

What do you mean by indicated?

1a : to point out or point to. b : to be a sign, symptom, or index of the high fever indicates a serious condition. c : to demonstrate or suggest the necessity or advisability of indicated the need for a new school the indicated treatment.

What is the example of indication?

The definition of an indication is a hint, a sign or a symptom. When you frown, this is an example of an indication of unhappiness. A rash that develops after you eat a certain food is an example of an indication that you are allergic to the food.

What does indicative only mean?

Use the word indicative when you want to show that something is suggestive or serves as a sign of something. Your willingness to help out with the charity is indicative of your generous nature. The adjective indicative is usually followed by the word of.

How often do radiologists make mistakes?

Errors and discrepancies in radiology practice are uncomfortably common, with an estimated day-to-day rate of 3–5% of studies reported, and much higher rates reported in many targeted studies.

What does soft tissues are unremarkable mean?

It means that the evaluation of reference organs indicates that there are no marks of abnormality or issue. So, unremarkable meaning is quite the opposite of what you thought it is. Unremarkable meaning is commonly used when there are no abnormal findings in the x-ray or CT scan.

What does it mean when doctors say unremarkable?

Unremarkable: Just what you think it means. Boring! Normal. Negative: Usually referring to a medical test.

What are the signs of nerve damage?

The signs of nerve damage

  • Numbness or tingling in the hands and feet.
  • Feeling like you're wearing a tight glove or sock.
  • Muscle weakness, especially in your arms or legs.
  • Regularly dropping objects that you're holding.
  • Sharp pains in your hands, arms, legs, or feet.
  • A buzzing sensation that feels like a mild electrical shock.

Does MRI show inflammation?

MRI allows to assess the soft tissue and bone marrow involvement in case of inflammation and/or infection. MRI is capable of detecting more inflammatory lesions and erosions than US, X-ray, or CT. Standard scintigraphy plays a crucial role, and data from positron emission tomography (PET) are also promising.